当前位置:肿瘤瞭望>百家>病例>正文

持续抗HER,长久获益丨一例HER2阳性晚期乳腺癌伴多发转移患者的治疗历程

作者:肿瘤瞭望   日期:2022/7/18 20:00:59  浏览量:20769

肿瘤瞭望版权所有,谢绝任何形式转载,侵犯版权者必予法律追究。

乳腺癌是女性常见的恶性肿瘤之一,发病率位居女性恶性肿瘤的首位,严重危害妇女的身心健康。在每年新发乳腺癌病例中,约3%-10%的患者在确诊时即有远处转移。早期患者中约有30%可发展为晚期乳腺癌。乳腺癌患者的晚期5年生存率仅为20%。持续的抗HER2治疗是HER2阳性晚期乳腺癌重要的治疗原则。此外对于晚期乳腺癌患者切除原发灶后是否能够获益尚有争论。因此,本文将通过一例HER2阳性晚期乳腺癌患者全程曲妥珠单抗治疗以及局部手术后的病例,探讨晚期乳腺癌患者抗HER2治疗和局部治疗的意义。

▌病例作者:李小华医生、侯丽丽医生 苏州吴中人民医院

 
▌点评专家:刘建夏教授 苏州大学附属第一医院
 
编者按
 
●乳腺癌是女性常见的恶性肿瘤之一,发病率位居女性恶性肿瘤的首位,严重危害妇女的身心健康。在每年新发乳腺癌病例中,约3%-10%的患者在确诊时即有远处转移。早期患者中约有30%可发展为晚期乳腺癌。乳腺癌患者的晚期5年生存率仅为20%。持续的抗HER2治疗是HER2阳性晚期乳腺癌重要的治疗原则。此外对于晚期乳腺癌患者切除原发灶后是否能够获益尚有争论。因此,本文将通过一例HER2阳性晚期乳腺癌患者全程曲妥珠单抗治疗以及局部手术后的病例,探讨晚期乳腺癌患者抗HER2治疗和局部治疗的意义。(注:本文中汉曲优为复宏汉霖研发生产的曲妥珠单抗)
 
病例基本信息
 
患者:顾某,女,65岁
 
主诉:确诊右乳癌伴肝肺骨转移3年余
 
婚育月经史:已婚已育,已绝经
 
既往史:否认高血压、糖尿病等慢性病史
 
家族史:否认家族史
 
▌疾病进程:
 
患者3年余前(2018.11)行右乳肿块穿刺活检,病理提示:右乳浸润性导管癌Ⅲ级,Ki-67(40%,+),ER(-),PR(-),HER2(3+)。PET-CT提示:右乳占位,考虑乳癌可能,伴右侧腋窝淋巴结转移,两肺及肝左叶多发转移,胸腰椎多发骨转移。头颅MRI未见异常。基因检测:ERBB2 基因拷贝数扩增。
 
图1. 2018.11肝左叶转移灶
 
①一线治疗:紫杉醇380mg Q3W+原研曲妥珠单抗300mg(首剂400mg)Q3W+唑来膦酸4mg Q4W;
 
两个疗程后复查CT:右乳Ca伴右腋下淋巴结M(较前相仿),伴两肺弥漫性转移(图2,较前进展);肝实质异常密度影,考虑转移,较前相仿;胸腰椎转移灶,较前相仿。疗效评价PD。
 
图2. 2019.01两肺转移灶
 
②二线治疗:紫杉醇380mg Q3W+原研曲妥珠单抗300mg Q3W+吡咯替尼320mg QD+唑来膦酸4mg Q4W;
 
两个疗程后复查CT:右乳Ca伴右腋下淋巴结M(较前相仿),伴两肺弥漫性转移(图3,较前缓解),肝脏转移灶消失(图3)。胸腰椎转移灶,较前相仿。疗效评价PR。
 
图3. 2019.03两肺转移灶(左图),肝左叶转移灶(右图)
 
继续维持上述方案两个疗程后,停静脉化疗,改口服化疗维持,即:原研曲妥珠单抗300mg Q3W+吡咯替尼320mg QD+卡培他滨1.0g BID+唑来膦酸4mg Q4W。维持至2020.05复查出现右侧锁骨上淋巴结,考虑转移,评估PD,PFS 16个月。
 
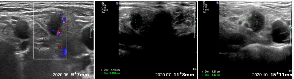
建议干预,患者要求考虑并继续维持方案:曲妥珠单抗300mg Q3W+吡咯替尼320mg QD+卡培他滨1.0g BID+唑来膦酸4mg Q4W。维持至2020.10,右锁骨上LN进行性增大,余未见异常(图4)。
 
图4. 右侧锁骨上淋巴结回声影像图
 
③原发灶+转移灶手术:2020.11行右乳单纯切除术+右侧腋窝淋巴结清扫术+右锁骨上淋巴结清扫(右颈部III区+IV区淋巴结清扫),术后病理:右乳腺浸润性导管癌,Nottingham分级2级,并见导管内癌(高级别),未见明确脉管及神经侵犯,基底及乳头、皮肤未见癌组织累及,腋窝淋巴结(2/9)枚、送检右颈侧区(2/19)枚示癌转移。MP分级:3级。癌细胞免疫组化标记:ER(-)、PR(-)、Ki-67(40%+)、HER2(3+)、AR(-)。再次行基因检测:未检出具有临床意义的变异。
 
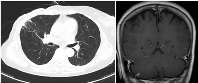
④三线治疗:曲妥珠单抗(汉曲优) 300mg Q3W+吡咯替尼 320mg QD+唑来膦酸4mg Q3M,并予以局部区域放疗。维持治疗至2022.03.31出现新发左肺转移灶及右侧小脑转移灶。行支气管镜检查,并取左肺下叶背段支气管开口见新生物活检,病理提示:(左肺结节)乳腺癌转移,Ki-67(20%,+),ER(-),PR(-),HER2(3+)。右侧小脑异常信号,1.2cm(图5),考虑转移。疗效评价PD,PFS 16个月。
 
图5. 2022.03左肺及右侧小脑影像图
 
⑤四线治疗:T-DM1 180mg Q3W;
 
两个疗程后评估:左肺下叶转移灶较前缩小,1.1cm;右侧小脑转移灶较前缩小,0.8cm(图6)。疗效评价 PR,继续维持该方案。
 
图6. 2022.05左肺及右侧小脑影像图
 
▌患者诊疗路径如下:
 
 
▌病例小结: 
 
该病例为一例HER2阳性初治IV期伴内脏转移的乳腺癌患者,考虑患者年龄较大,且肿瘤晚期,一线治疗措施选择单药化疗联合大分子抗HER2治疗,因2018年末帕妥珠单抗在国内未上市,因此单用曲妥珠单抗。两疗程评估,疾病进展。根据当时国内外指南,复发转移性乳腺癌一线曲妥珠单抗病情进展后,推荐二线使用TKI或T-DM1,考虑2019年初T-DM1不可及,选择在原化疗联合曲妥珠单抗的基础上加用小分子TKI。基于PHENIX1和PHOEBE2研究结果,吡咯替尼在曲妥珠单抗经治的患者中都有获益。本例患者获得16个月的PFS后出现同侧锁骨上淋巴结转移,无内脏转移。既往的IV期乳腺癌局部手术治疗的前瞻性研究样本量较小,研究年代较早,研究结论不一致,局部治疗的价值存在争议。2020NCCN指南建议手术只有在局部肿瘤可以被完整切除且其他部位的病变不会在短期内威胁生命的情况下才可以进行。对该患者而言,局部手术在减瘤的同时可取到进展病灶的病理,并且手术后可联合局部放疗,据2019年中国抗癌协会指南,放疗后再次靶向治疗具有一定的价值。患者在术后继续维持双靶治疗(汉曲优+吡咯替尼),获得PFS16个月。根据TH3RESA研究,若二线未使用T-DM1,在后线治疗可以考虑应用。虽然最新报道的DESTINY-Breast033临床研究提示T-DXd比T-DM1在二线取得更好的PFS,但因T-DXd不可及,因此选用T-DM1。
 
专家点评
 
近来国家癌症中心发布了2022年全国癌症报告4,报告显示2020年中国女性癌症新发病例数乳腺癌占到42万。中国女性乳腺癌发病率呈现年轻化和就诊时间晚等特点,而且大约30%的患者就诊时已经属于偏晚的Ⅲ期、 Ⅳ 期。国内外指南5-6都强调晚期乳腺癌治疗主要目的是延长生存期、提高生活质量。本文中该病例初诊即为HER2阳性初治IV期伴内脏转移的乳腺癌患者,在明确HER2状态后,给予抗HER2治疗至关重要。H0648g7和M770018研究证实,在紫杉类基础上联合曲妥珠单抗治疗,能够显著提高PFS和OS,同时也确立了曲妥珠单抗联合紫杉类在一线标准治疗的地位。但是该患者使用曲妥珠单抗2个月左右出现疾病进展,表现出原发耐药。基于当时药物可及性和安全性的考虑,加入了TKI小分子治疗,疗效评估为PR,且维持了近一年半的PFS。后续患者再次出现右锁骨淋巴结转移,考虑到仅区域淋巴结进展,其余病灶稳定,此时给予了患者右乳改良根治术以及右锁骨淋巴清扫术。同时继续维持抗HER2治疗,获得了较好的无疾病进展生存期。
 
根据《中国晚期乳腺癌规范诊疗指南(2020 版)》,对于初诊的Ⅳ期乳腺癌患者切除原发病灶是否能够获益尚有争论,以延长生存时间为目的的手术需要谨慎个体化选择。在转移负荷较小,系统治疗有效的情况下,局部手术有获益趋势的部分患者或因溃疡出血等可以考虑姑息性手术。在中国抗癌协会乳腺癌诊治指南与规范中也提及,局部及区域复发而没有远处转移的患者,对于经过全面评估后认为适合根治性局部治疗的,应当给与根治性治疗。目前几项小规模前瞻性临床试验的结论并不一致,如印度TATA研究提示全身系统治疗后局部手术后,大多数患者并不能从局部治疗中获益;土耳其的MF07-01研究9提示部分Ⅳ期乳腺癌患者能够从局部区域治疗和系统治疗中获益,手术组5年OS率达到41.65%,而对照组仅有24.4%。在指南和已有的临床研究尚未对晚期乳腺癌患者是否有必要进行局部治疗给予明确答案之前,对于此类患者仍需个性化考虑。因此本例患者在考虑仅同侧锁骨上淋巴结寡转移,而非凶险的内脏转移之后,选择系统治疗联合局部治疗是可取的。
 
参考文献
 
1. YanM, BianL, HuX, et al. Pyrotinib plus capecitabine for human epidermal growth factor receptor 2-positive metastatic breast cancer after trastuzumab and taxanes (PHENIX): a randomized, double-blind, placebo-controlled phase 3 study[J]. Transl Breast Cancer Res, 2020, 1:13.
 
2. XuB, YanM, MaF, et al. Pyrotinib plus capecitabine versus lapatinib plus capecitabine for the treatment of HER2-positive metastatic breast cancer (PHOEBE): a multicentre, open-label, randomised, controlled, phase 3 trial[J]. Lancet Oncol, 2021, 22(3):351-360.
 
3. Cortés J et al. Trastuzumab Deruxtecan versus Trastuzumab Emtansine for Breast Cancer . N Engl J Med. 2022;386:1143-1154.
 
4. Zheng R , Zhang S , Zeng H , et al. Cancer incidence and mortality in China, 2016[J]. Journal of the National Cancer Center, 2022.
 
5. 中国晚期乳腺癌规范诊疗指南(2020 版)
 
6.NCCN guidelines breast cancer ,Version 4.2022
 
7. Slamon D J , Leyland-Jones B , Shak S , et al. Use of chemotherapy plus a monoclonal antibody against HER2 for metastatic breast cancer that overexpresses HER2.[J]. N Engl J Med, 2001, 344(11):783-792.
 
8.MartyM, CognettiF, MaraninchiD, et al. Randomized phase Ⅱ trial of the efficacy and safety of trastuzumab combined with docetaxel in patients with human epidermal growth factor receptor 2-positive metastatic breast cancer administered as first-line treatment: the M77001 study group[J]. J Clin Oncol, 2005, 23(19):4265-4274.
 
9. Soran A ,  Ozmen V ,  Ozbas S , et al. Abstract P1-20-01: Primary surgery in patients with de novo stage IV BC; finalizing the protocol MF07-01 randomized clinical trial[C]// Abstracts: 2019 San Antonio Breast Cancer Symposium; December 10-14, 2019
 
病例作者简介
 
 
李小华 医生
 
苏州吴中人民医院副院长、甲乳外科科主任、副主任医师
 
苏州市甲乳学组委员
 
江苏省抗癌协会甲状腺专业委员会青年委员
 
中国抗癌协会康复分会青年委员
 
苏州市青年联合会委员
 
于上海复旦大学附属肿瘤医院进修头颈外科、乳腺外科
 
于法国蒙彼利埃大学总医院进修乳房重建术
 
 
侯丽丽 医生
 
苏州吴中人民医院
 
主治医师、硕士研究生
 
毕业于南京医科大学
 
曾于上海肿瘤医院乳腺外科、头颈外科进修
 
参与2019年苏州市卫生青年骨干人才“全国导师制”培训
 
病例点评专家简介
 
 
刘建夏 教授  
 
主任医师、副教授、硕士生导师
 
苏州大学附属第一医院、甲乳外科主任
 
江苏省医学会外科学分会委员
 
江苏省医学会血管外科学会委员
 
江苏省抗癌协会甲状腺专业委员会副主任委员
 
江苏省肿瘤防治联盟乳腺专家委员会副主任委员
 
江苏省研究型医院学会甲状腺疾病专业委员会副主任委员
 
江苏省中西医结合学会乳腺病专业委员会常务委员
 
江苏省医学会外科学分会乳腺外科学组委员
 
江苏省医学会外科学分会甲状腺外科学组委员
 
中国抗癌协会甲状腺癌专业委员会委员
 
中国抗癌协会康复会学术指导委员会委员
 
中国研究型医院学会甲状腺疾病专业委员会甲状旁腺保护学组委员
 
中国研究型医院学会甲状腺疾病专业委员会能量外科学组委员
 
江苏省妇幼保健协会乳腺疾病分会苏南乳腺疾病协作组顾问
 
江苏省抗癌协会微创治疗委员会委员
 
苏州市抗癌协会常务理事
 
苏州市抗癌协会乳腺癌专业委员会名誉主任委员
 
中美肿瘤协会委员
 

本内容仅供医学专业人士参考


HER2阳性晚期乳腺癌

分享到: 更多